Tooth Angels Coronation Services

Periodontal Disease Treatment & Gum Treatment

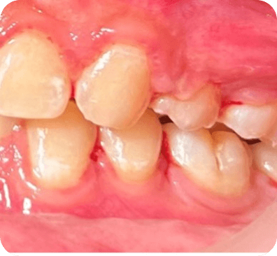
Many people experience mild to moderate gum diseases without realizing it until the condition becomes severe. We recommend regular check ups and cleaning to detect early problems before they lead to more significant issues in the future. Periodontitis (gum) disease is a chronic infection of the gums and bones supporting your teeth.

Gingivitis is the early and milder form of gum disease and often goes unnoticed. If left untreated, the bacteria will invade surrounding tissue and lead to a more severe form of gum disease- Periodontitis.

Our experienced team specializes in managing gum disease, providing the best treatment tailored to your needs.

Gum Disease Treatment

Many individuals unknowingly suffer from mild to moderate gum disease, which can become severe if left untreated. Most people do not realize they have periodontal disease until it reaches an advanced stage. Therefore, it is essential to be proactive about your dental health and seek treatment for gum disease at the first sign of any issues

At our clinic, we recognize that healthy gums are fundamental to your overall oral health. They provide support and protection for your teeth, so it’s essential to maintain their health and function. Often, patients overlook subtle signs of gum disease, such as slight bleeding when brushing, persistent bad breath, or swollen gums. However, these symptoms can be early warning signs of periodontitis, a more serious form of gum disease that requires immediate attention.

Understanding Periodontal Disease

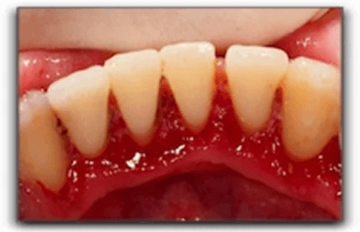
Periodontal disease is a serious gum infection that can lead to tooth loss if left untreated. It starts with the buildup of plaque on your teeth, which causes inflammation of the gums, known as gingivitis. If gingivitis is not treated, it can progress to periodontitis, where the gums pull away from the teeth, creating pockets that can become infected.

The symptoms of periodontitis include:
Gum recession
Pockets between teeth and gums
Loose teeth
Persistent bad breath
Changes in bite or fit of dentures

If you have noticed any of these signs, it’s important to consult your dentist promptly. At Tooth Angels Coronation Dental, we work as team including a gum specialist (Periodontist) whom we can refer our patients for a comprehensive treatment.
Comprehensive Gum Disease Solutions
Our treatment options for periodontitis aim to restore your gum health and prevent further complications. After a thorough examination, our dental team will collaborate with you to create a personalized treatment plan, which may include:
Scaling and Root Planning: This deep-cleaning procedure eliminates plaque and tartar beneath the gum line, smoothing rough areas on the roots of your teeth.

Medications: 
Based on your specific condition, we may prescribe antibiotics to manage bacterial infections and decrease inflammation in your gums.

Surgical Treatments: 
In severe cases of gum disease, surgical procedures may be necessary to reduce gum pockets and restore overall gum health.

Maintenance Programs: 
After completing treatment, our team will continue to support your gum health through regular maintenance visits and provide educational resources on proper oral hygiene practices.
Take Action Today 
Don’t wait for your gum health to get worse. If you notice any warning signs or it’s time for a check-up, please contact our dental clinic to schedule an appointment. Early intervention is crucial in managing gum disease, and we are here to provide you with the best care possible.
Your gum health is essential for your overall well-being. Let us assist you in maintaining a healthy smile—because healthy gums contribute to healthy teeth.

Other Services